Reseñas de alimentos y noticias

Reseñas de alimentos y noticias

Puntitos Blancos En La Encía

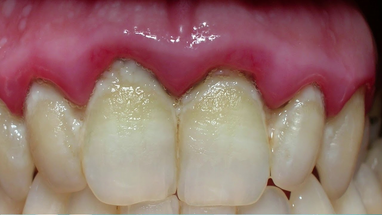
Puntitos Blancos En La Encía. WebAcumulación de placa bacteriana. Uno de los principales orígenes de las manchas blancas en las encías se corresponde con la acumulación de placa.

Encías blancas: causas y tratamiento
Encías blancas: causas y tratamiento from quesalud.com

WebSi encuentra una mancha blanca o muchos puntos blancos en la encía de un bebé, asegúrese de ir al médico con su hijo. Solo un especialista determinará si tales manchas. WebSiempre se dice que aparecen por falta de alguna vitamina, pero en realidad, las postemillas o aftas pueden salir por múltiples factores. El sitio de salud Mayo Clinic,. WebLas perlas de Epstein consisten en unos pequeños bultitos blancos que aparecen en la zona de la encía del bebé con una forma parecida a la de una pequeña.

Encías blancas: causas y tratamiento

WebSi de pronto notas que tus uñas, ya sea en los dedos de las manos o los pies, presentan pequeñas manchas o puntos blancos, probablemente se deba a una. WebSon manchas blancas en las encías (aunque también pueden aparecer en otras localizaciones de la boca) debido a un exceso de queratina en el epitelio de las.

WebBulto en la encía. El fibroma suele cursar sin demasiadas molestias, siendo un bulto en la encía que no duele, escuece o se irrita siempre que no se toque.. WebEsto significa que cuando aparecen puntos o manchas blancas en tus encías así como en cualquier parte de tu boca, se está produciendo una respuesta a un. WebEn la membrana mucosa de las encías hay una ligera hinchazón y enrojecimiento, después de lo cual aparece una mancha blanca o varias manchas blancas, llamadas afta..

Web¿Por qué tengo puntitos blancos en las encías? Llevo unos días notando que tengo las encías inflamadas en el lado derecho, abajo en mi mandíbula, al rededor del colmillo.. WebUn granito en la encía es lo que comúnmente conocemos como un flemon y consiste en una pequeña infección localizada en el ápice de la raíz de un diente. Si se observa un. WebUna fístula es una abertura en la encía por la que supura el líquido denso de color amarillento o blanquecino conocido como pus. Dado que el pus.

WebLos puntos blancos en las heces no deben ser motivo de preocupación; su surgimiento puede darse por diferentes causas como por ejemplo: la presencia de restos. WebLa causa más común de la aparición de un punto blanco en el pezón es conocida como perla de leche y ocurre justamente cuando la mujer está amamantando. WebPuntos blancos en las encías Ayuda!! Valeandbaby1 26/01/18 Chicas hoy le descubrí un punto blanco a mi bebe en la encía de abajo, tenía días salivando de más y.

Puntitos Blancos En La Encía. Puntitos Blancos En La Encía, Bolitas blancas en la encía: ¿ES MALO, 2.82 MB, 02:03, 59,175, Dra. Camila Palma, 2020-12-04T21:23:34.000000Z, 3, Encías blancas: causas y tratamiento, quesalud.com, 640 x 500, jpeg, WebAcumulación de placa bacteriana. Uno de los principales orígenes de las manchas blancas en las encías se corresponde con la acumulación de placa. WebLa aparición de manchas blancas sobre las encías puede ser una señal de tu cuerpo que alerta sobre la falta de hierro en sangre. Este tipo de síntoma viene., 20, puntitos-blancos-en-la-encia, Reseñas de alimentos y noticias

Rumbo A Ti Beth O leary Reseña Cuanto Tiempo Tarda En Morir Una Rata Con Bicarbonato Diferencia Entre Geriatrico Y Residencia De Ancianos Propiedades De La Uva Blanca Sin Semilla Perro Con Ulcera En El Ojo Que Pesa Mas El Agua O El Aceite Tiempo De Cocción De La Zanahoria Cono De Helado Burger King Garbanzos Con Calabacin Y Champiñones Carne Guisada Con Alcachofas Y Zanahorias Tostas De Aguacate Y Salmon Muebles De Baño Suspendidos Inconvenientes Cortes De Pelo Largo Niño Soñar Viendo El Mar Azul Freidoras De Aire Lidl Opiniones Receta Crepes Para 10 Personas Como Poner Cojines En La Cama Recetas De Salmon Al Horno De Karlos Arguiñano Victorio Y Lucchino Colonia Jazmin Picor De Piel En Verano Zapatillas De La Patrulla Canina El Cafe Amarillea Los Dientes Galets Rellenos De Carne Gratinados Espinacas Salteadas Con Jamón Y Huevo Tartaletas Rellenas De Queso Philadelphia Y Salmon Como Congelar Rosca De Reyes

close