Reseñas de alimentos y noticias

Reseñas de alimentos y noticias

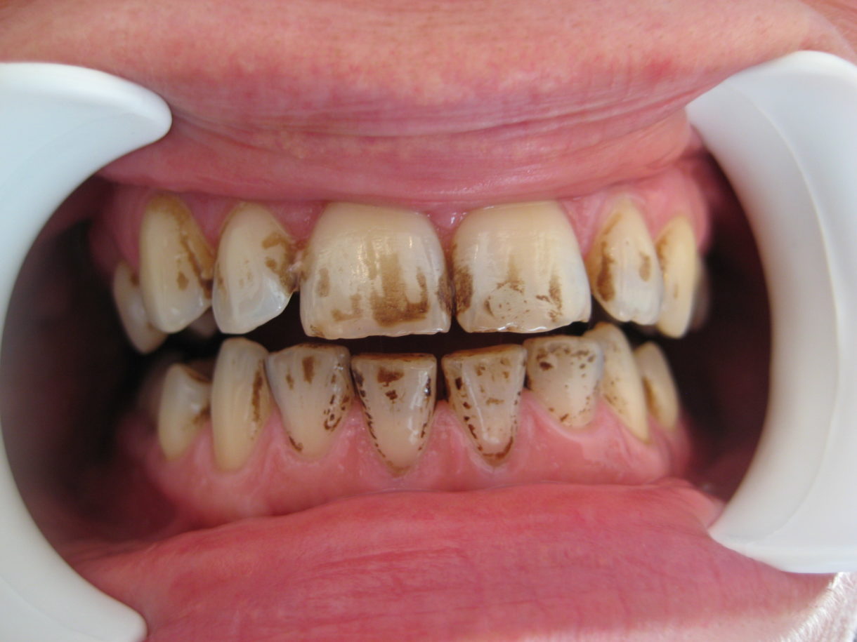
El Cafe Amarillea Los Dientes

El Cafe Amarillea Los Dientes. WebEl café solo afecta a la parte estética de nuestros dientes, es decir, que no es una sustancia abrasiva ni invasiva, de manera que podemos tomarlo sin.

La Cafeína y Su Consecuencia en los Dientes - ¿Como Tratarla?
La Cafeína y Su Consecuencia en los Dientes - ¿Como Tratarla? from portalcual.com

WebEl consumo excesivo de café puede provocar la abrasión de los dientes o del esmalte, ya que el café puede proporcionar un entorno adecuado para que las bacterias crezcan. WebEl principal problema del café para los dientes es su bajo nivel de PH, es decir, su alto nivel de acidez. Esta acidez afecta el esmalte de los dientes, ya que lo. WebLas principales causas externas que vuelven los dientes amarillos son claras: comida, bebida y tabaco. El tabaco no solo amarillea los dientes, sino que es.

La Cafeína y Su Consecuencia en los Dientes - ¿Como Tratarla?

WebSe ha demostrado que, más allá de oscurecer el esmalte y dar un tono amarillo muy feo a nuestros dientes, el café es una bebida inofensiva para nuestra dentadura y nuestra. WebSi todavía te preguntas si el vapeo amarillea los dientes, la respuesta es sí. Aunque es menos perjudicial que fumar, el vapeo mancha los dientes con el tiempo. Puede ser una.

WebPues bien, el café contiene tanino, que -en pocas palabras- se aprovecha de la naturaleza porosa del esmalte dental y provoca la decoloración de los. WebEstas también influirán en la apariencia y coloración de los dientes. 5 Vinagre. El vinagre es un alimento muy ácido que puede dañar el esmalte dental, no en. Web1.Café. La bebida que, sin duda, más daño puede hacer a nuestro esmalte. Lo cierto es que el café oscurece los dientes… y mucho. Su consumo generalizado entre la población es.

WebEl té verde (junto con otros tés y bebidas como el café) puede colorear los dientes y las encías. Hay dos componentes principales que se encuentran en el té verde y que son. WebLimita el consumo de alimentos que manchan los dientes como el café, té, gaseosas, vino tinto, curry, ketchup, salsa de soja o vinagre balsámico. Mantén una. WebEl café contiene sustancias que manchan nuestro esmalte, oscurecen poco a poco nuestro tono natural de los dientes, haciéndolo más oscuro y con menos brillo. Si.

WebAunque el café y el té son bebidas saludables para la población en general, su consumo frecuente puede acabar apagando el blanco de tus dientes. Por suerte, esto no. WebEste es uno de los alimentos que más manchas amarillas causan, debido a su color oscuro característico. La capa externa de los dientes es muy porosa.

El Cafe Amarillea Los Dientes. El Cafe Amarillea Los Dientes, , , , , , , 0, La Cafeína y Su Consecuencia en los Dientes - ¿Como Tratarla?, portalcual.com, 750 x 500, jpeg, WebEl café solo afecta a la parte estética de nuestros dientes, es decir, que no es una sustancia abrasiva ni invasiva, de manera que podemos tomarlo sin. WebEl café contiene unos ingredientes llamados taninos que pueden manchar los dientes y opacar notablemente su sonrisa. El café contiene unos compuestos orgánicos., 20, el-cafe-amarillea-los-dientes, Reseñas de alimentos y noticias

El Poder De Los Habitos Pdf Carbonato De Calcio O Cal Minusvalía Por Pérdida De Audición En Un Oído Se La Mete Por Accidente Que Empresas Hacen Controles De Drogas Muñecas De Papel Para Imprimir Esta En La Lengua Y Detecta Los Sabores Diferencia Entre Agresión Y Abuso Que Pesa Mas El Agua O El Aceite Ideas Para Envolver Con Papel Kraft Ideas De Comidas Para Grupos Grandes Horóscopo Aries Fin De Semana Centros De Navidad Con Acebo Butifarra De Huevo Como Se Come Frases Graciosas Para Bodas De Oro Toy De Saphir A Que Perfume Imita Plantas Que Florecen En Julio Personas Nacidas El 29 De Diciembre Soñar Que Tu Madre Llora Te Elijo A Ti Frases Pasta Integral Mercadona Valor Nutricional Preguntas Para Reflexionar Sobre La Felicidad Combinar Abrigo Azul Marino Mujer La Mejor Crema De Martiderm Calendario De Adviento De Milka Frases De Un Buen Desayuno

close