Muela Del Juicio A Los 60 Años. WebLa edad normal de erupción de los terceros molares son los 18 años, aunque es verdad que hay bastante variabilidad. Además, en muchos casos las muelas del.
Web📹 Quieres ver cómo se realiza una extracción de UNA MUELA DEL JUICIO?En éste video en vivo, te enseño de una manera real como realizo una exodoncia de un t... WebLas muelas del juicio no tienen una misión fundamental en nuestra boca, por ello es habitual extraerlas si presentan o pueden presentar problemas. Es en estos. WebLas muelas del juicio o cordales suelen empezar a salir por término medio entre los 17 y los 21 años, aunque también puede ocurrir antes o después de este intervalo de edad, e.
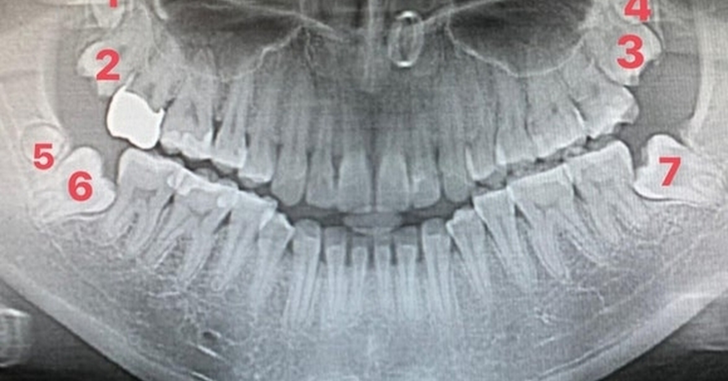
¿A QUÉ EDAD SALEN LAS MUELAS DEL JUICIO? – COED
WebEl tiempo que tardan en salir las muelas del juicio varía en función de cada caso, pudiendo llegar a durar varios años hasta que salgan por completo. No obstante,. Web¿Qué son las muelas del juicio? Las muelas del juicio -también llamadas cordales o terceros molares– son, generalmente las últimas piezas dentales en salir. Lo más frecuente es.
WebIdealmente, las muelas del juicio se extraen cuando el individuo está en su adolescencia tardía o principios de los 20 años. A esta edad, las muelas del juicio del. WebLas muelas del juicio son los últimos dientes en salir. Suelen salir entre los 17 y 30 años, de ahí su nombre, ya que a esta edad una persona tiene más juicio por la. Weblas muelas del juicio empiezan a salir hacia los 18-20 años, que se supone que es cuando uno empieza a tener "juicio" Muchas veces ocurre que no se hacen visibles en.
WebEl tiempo que tardan en salir las muelas del juicio varía en función de cada caso, pudiendo llegar a durar varios años hasta que salgan por completo. No obstante, en líneas. WebSegún la Asociación Dental Americana (American Dental Association), la extracción de las muelas de juicio puede ser necesaria si tienes algún cambio en la zona. WebLas muelas del juicio completamente retenidas están recubiertas en su totalidad por el tejido de las encías, mientras que los dientes parcialmente erupcionados.
WebSe llaman muelas del juicio porque supuestamente aparecen cuando la persona tiene juicio, es decir, entre los 18 y 19 años. Son los últimos molares en salir, y erupcionan. WebConocidos coloquialmente como muelas del juicio, los cordales o terceros molares son las últimas piezas dentales en salir dentro del proceso de dentición. WebEstas muelas son las últimas en erupcionar y, generalmente, comienzan a aparecer entre los 17 y 25 años, aunque depende de cada persona. La mayoría de personas tienen.
Muela Del Juicio A Los 60 Años. Muela Del Juicio A Los 60 Años, Las Cordales o Muelas del juicio, edad para extraerlas, 8.24 MB, 06:00, 257,132, Sonrilaser, 2013-06-05T16:32:08.000000Z, 3, ¿A QUÉ EDAD SALEN LAS MUELAS DEL JUICIO? – COED, www.coed.mx, 1024 x 536, jpeg, WebLa edad normal de erupción de los terceros molares son los 18 años, aunque es verdad que hay bastante variabilidad. Además, en muchos casos las muelas del. WebMuelas del juicio a los 40. Se llaman así ya que a la edad que suelen aparecer, las personas tienen el juicio más desarrollado, que en el tiempo en que salen las anteriores., 20, muela-del-juicio-a-los-60-anos, Reseñas de alimentos y noticias
